|
[후한의원 칼럼] 흉터치료 효과는 다 붓기라고? 2026-02-11 hit.75 |
|
패인 흉터 치료는 비용이 크고, 다운타임이 길어 일상생활에도 영향을 많이 주는 편입니다. 그래서 치료를 시작하기 전에 정보를 최대한 많이 수집하는 편인데요. 치료 후기 역시 그 중에 하나입니다. 그런데 많은 분들이 시술 직후의 '붓기 효과'에 크게 흔들리곤 합니다. 새살침(트랜스테라피), 큐어젯 등은 흉터의 섬유화된 부분을 끊어내면서 시술 부위가 바로 부어올라 흉터가 차오른 듯한 모양을 띄게 됩니다. 레이저 역시 에너지 값을 매우 높게 설정하여 진물이 나거나 얼굴이 퉁퉁 부어 시술후 1~2주 간은 흉터 경계가 불분명해 보이기도 하죠. 실제로 새살이 차오른 것은 아니지만 흉터가 메워진 것 같은 착시 효과를 주는 시술들입니다. 이 때 '벌써 좋아졌나 봐요!'하고 기뻐했다가, 몇 주 뒤 붓기가 빠지면서 다시 도드라지는 흉터를 보고 실망하게 됩니다. 그래서 혹자는 '패인 흉터 치료는 전부 붓기일 뿐, 효과가 없다'고 단정적으로 말하기도 합니다. 하지만 진실은 그 사이 어딘가에 있습니다. 붓기가 있는 것도 사실이고, 치료 효과가 분명히 나타나는 것도 사실입니다. 그렇다면 흉터치료 붓기는 얼마나 가는 걸까요? 진짜 치료 효과는 언제부터 나타나는 걸까요? 흉터 치료 붓기는 언제까지 갈까? 피부는 염증기 - 증식기 - 재형성, 리모델링기를 거쳐 재생됩니다. 보통 초기 2주 정도까지는 염증기로, 붓기가 가장 심한 시기입니다. 시술에 따라 다르지만 붓기는 2주~3개월까지 지속될 수 있습니다. 시술 직후 듀오덤 같은 습윤밴드 처치를 한다면 붓기 효과는 더욱 드라마틱합니다.
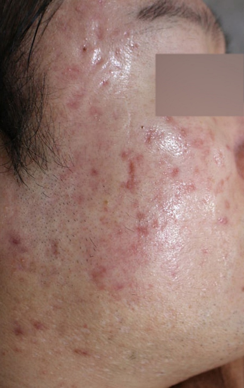
치료전 24.01.06
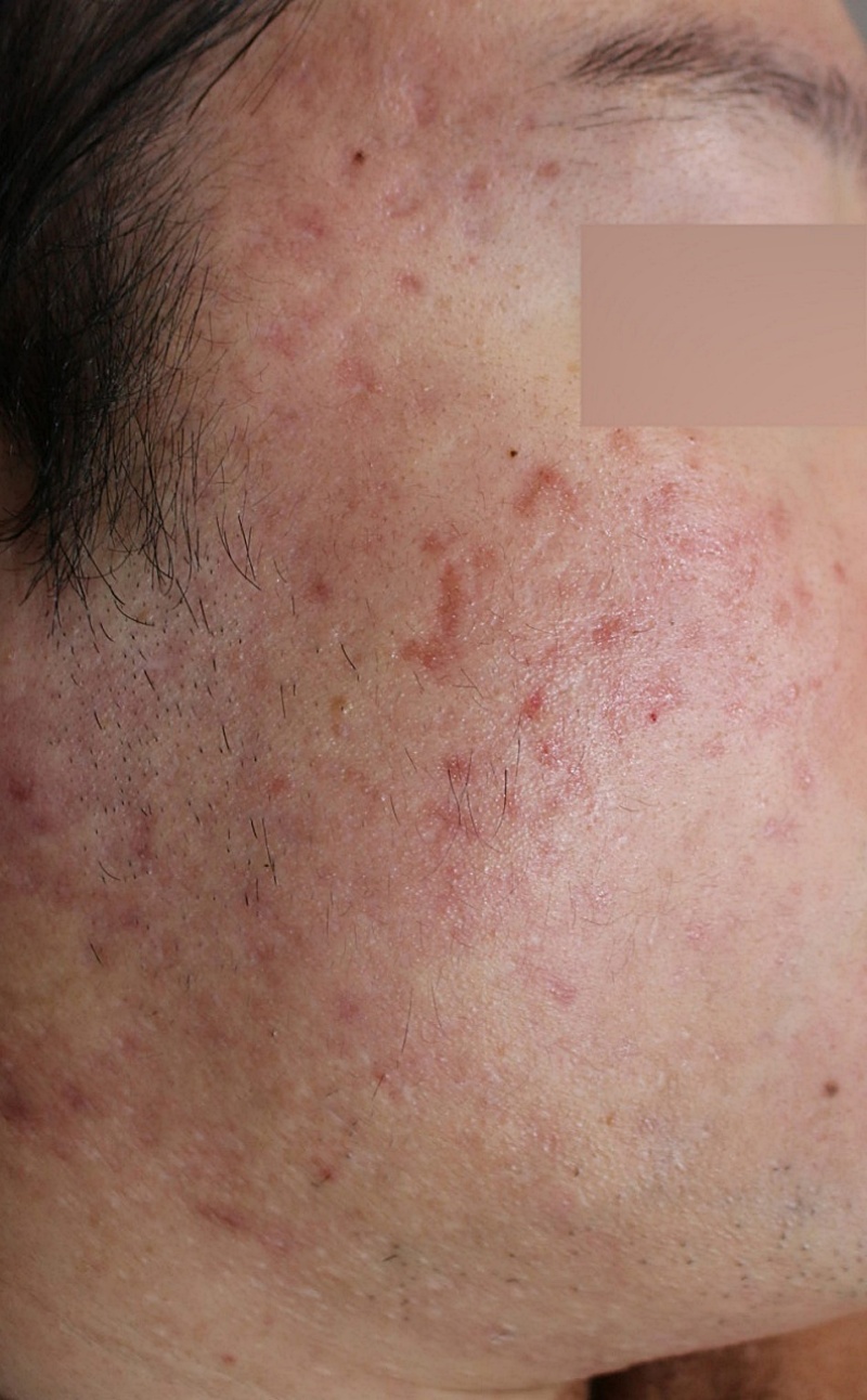
약품도포 후 24.01.29 치료 전과 약품도포 3주 후 모습입니다. 붉은기는 심하지만 뺨의 흉터가 모두 사라진 것 같은 착각을 불러일으킵니다. 흉터 치료 효과는 언제부터 보일까? 붓기가 가라앉고 나면 원래 있던 흉터가 다시 드러납니다. 이 시점에서 '아무 효과가 없네' 하고 실망하기 쉽지만, 진짜 변화가 시작되는 시기입니다. 염증기 이후 증식기에 새살이 본격적으로 차오르면서 '실질적인 재생 효과'가 나타납니다.
약품도포 한달후 24.02.06 약품도포 한 달 후 붓기가 빠지면서 흉터 부위가 다시 가라앉는 것처럼 보이는 상태입니다. 하지만 실제로는 새살이 가장 많이 차오르고 있는 시기입니다. 왜 긴 시간을 잡아야 할까? 재형성, 리모델링기는 6개월~1년 이상 소요됩니다. 초기에 무질서하게 쌓인 콜라겐이 점차 정리되고, 강도와 탄력이 개선됩니다. 붉은 혈관도 차츰 줄어들면서 붉은기가 옅어지고 피부색이 안정화 됩니다. 피부 표면의 결도 서서히 부드러워 집니다.
치료종료 24.04.27
치료 1년후 24.12.30 약품도포, 새살침(트랜스테라피)등 강한 흉터 시술 이후 엠톤, 프락셀, needle RF 등으로 피부 재생을 돕습니다. 6개월간의 시술 종료 후 붉은 색이 빠지고 결이 많이 부드러워진 것을 볼 수 있습니다. 시술이 모두 종료되고 8개월 후에 다시 내원하여 상태를 점검한 사진입니다. 피부 상태가 더욱 안정화된 것이 보입니다. 지금 흉터 치료 중이시라면, 붓기 변화에 너무 기뻐하거나 슬퍼하지 마세요. 피부가 스스로 회복하는 과정을 믿고 기다린다면 효과는 분명히 나타날 것입니다.
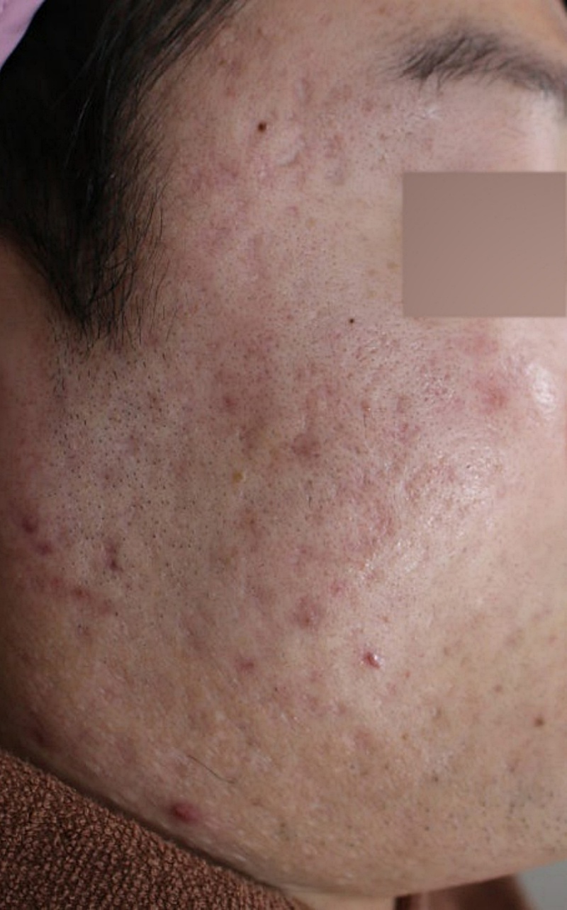
치료전 24.01.06
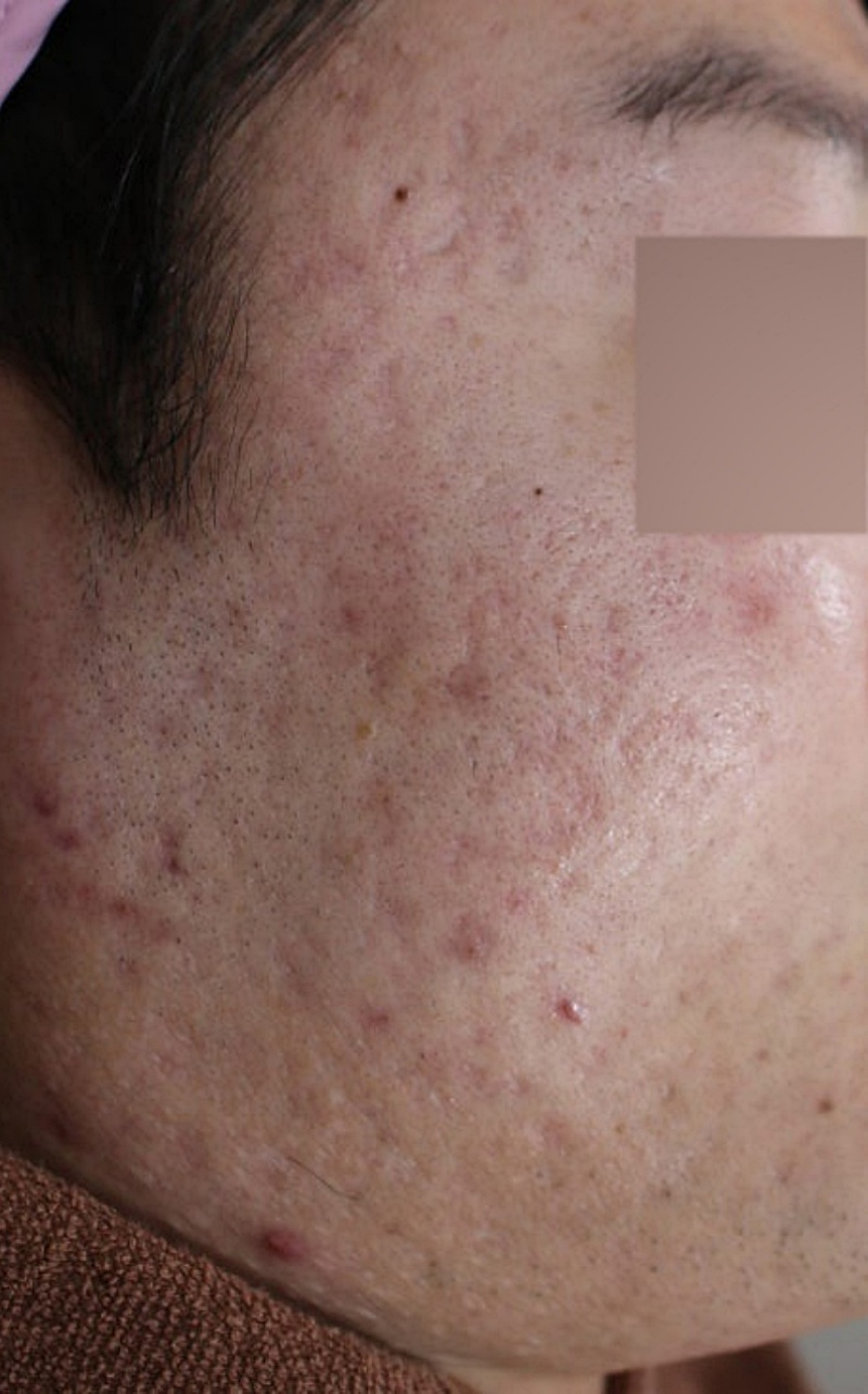
치료후 24.12.30) |

